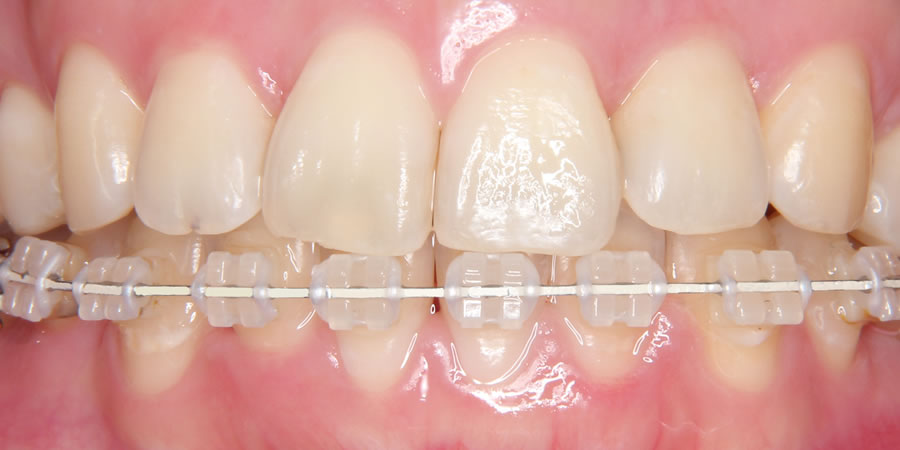
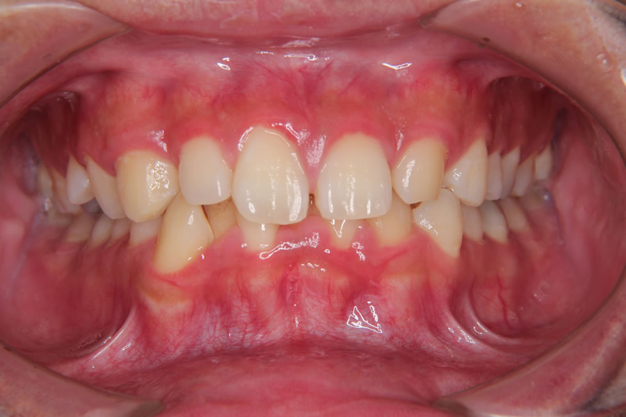
before


歯の裏側についているから矯正治療中も気づかれにくい。
歯の裏側に固定式のワイヤーをつける治療法です。歯の表面には装置が何もついてないので、誰にも気づかれずに歯並びをきれいにできます。
こちらのリンクも参考に→コラム裏側矯正 : 舌側矯正(リンガル矯正)


裏側矯正の最大のメリットは見えにくいことですが、装置の作製費が高額であり特殊な治療技術を要するため、治療費用が高くなる傾向があります。そのため、目立つ上の歯だけ裏側矯正にするハーフリンガルにすることで、フルリンガルより治療費を安くする方法もあります。下の表側の装置は白く目立ちにくいセラミックブラケットをつけます。
歯の裏側に装置をつけるため、数か月は発音しづらいですが、徐々に慣れてきます。また、ご自身でも見えにくい部分に固定式の装置がつくため汚れが溜まりやすく、歯みがきには細やかなケアが必要です。
裏側矯正が不向きな場合もありますので、まずはお気軽にご相談ください。
before

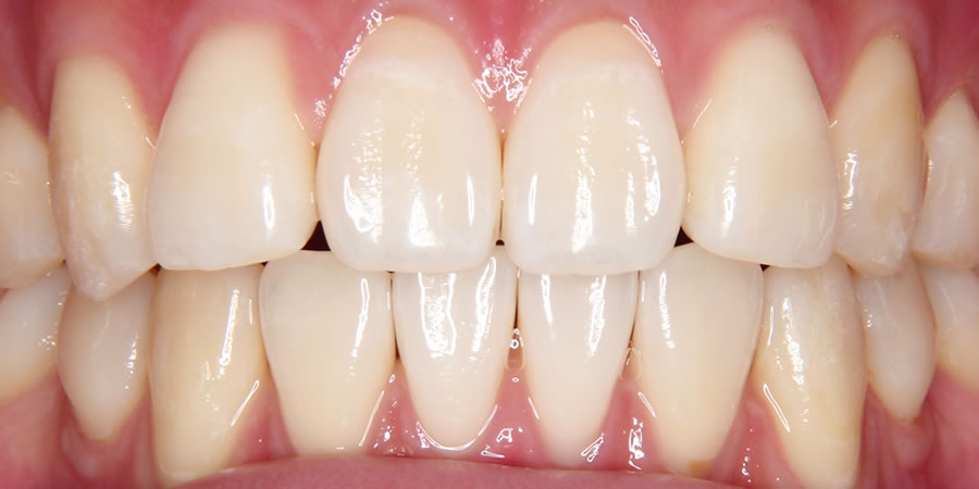
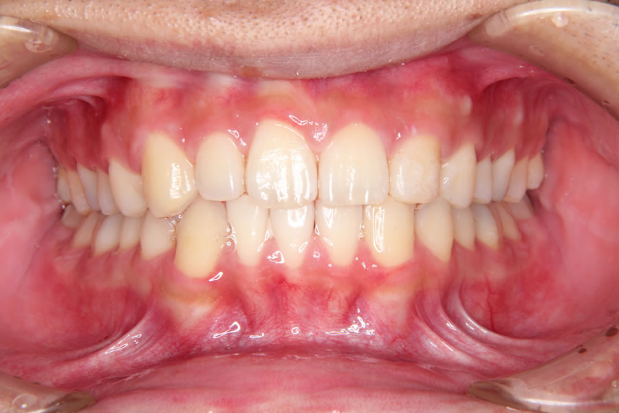
after

治療方法・期間・結果は個人により異なります。