before


透明なマウスピースで美しい口元へ
ご自身で取り外しができる透明なマウスピース型矯正装置で矯正治療を行うことができます。
1日20時間~22時間の装着が必要です。
ご自身でしっかり装着することが何より重要です。1週間~2週間ごとに、ご自身で新しい装置に交換して頂きます。
*マウスピース型矯正装置を用いた治療が合わない場合もあります。まずはご相談頂き、拝見して、個々のケースに合った治療法をご提案致します。

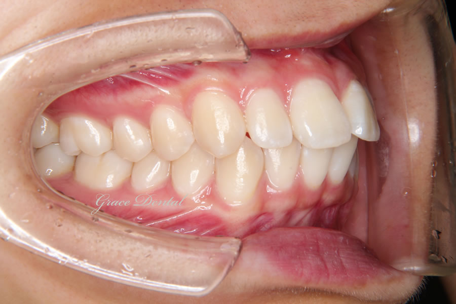
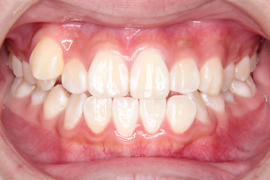
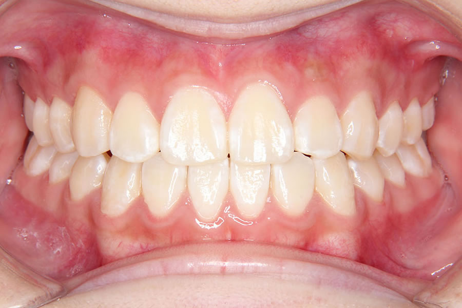
before

after



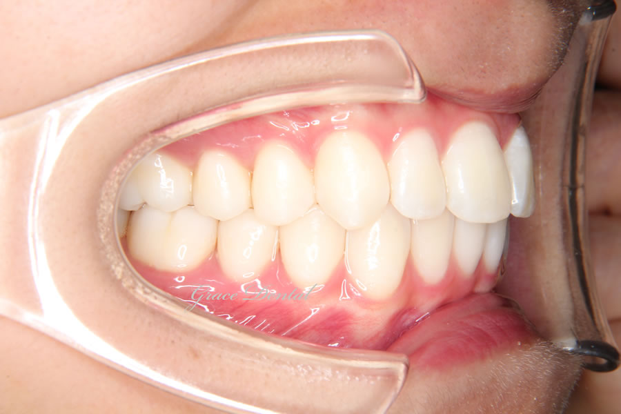
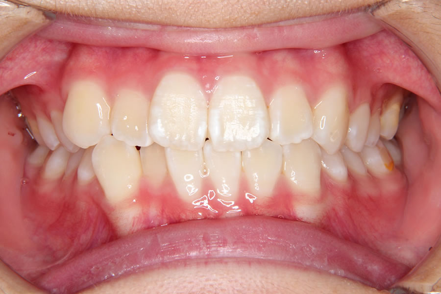
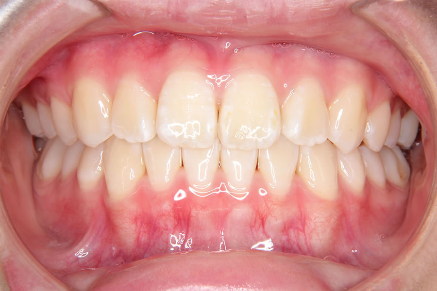
before

after



治療方法・期間・結果は個人により異なります。
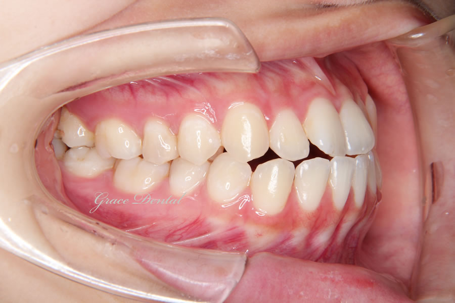
before

after



治療方法・期間・結果は個人により異なります。
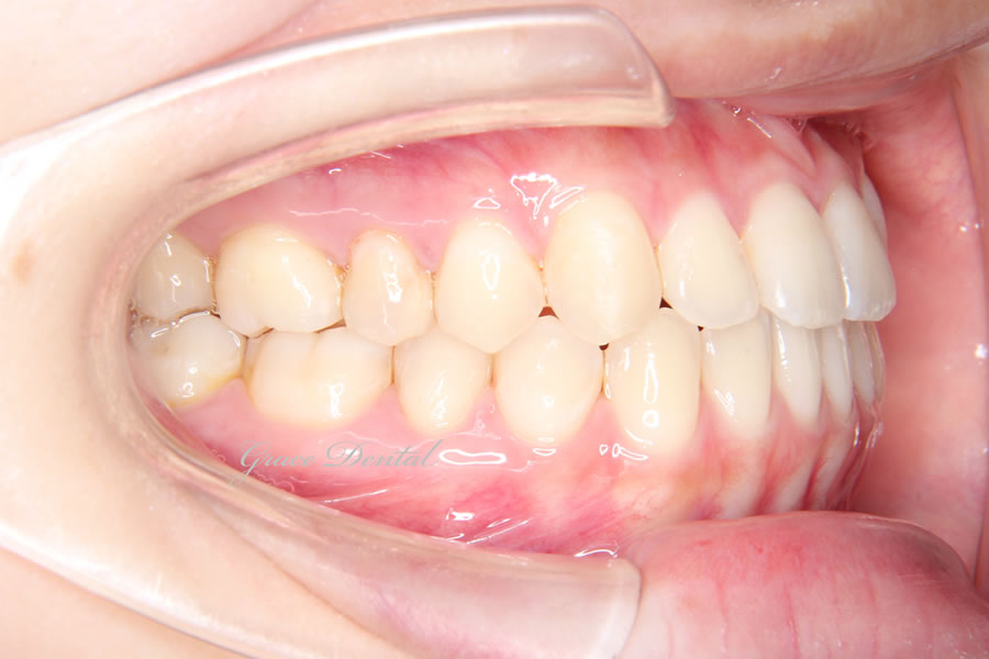
before

after



治療方法・期間・結果は個人により異なります。
before

after

治療方法・期間・結果は個人により異なります。
マウスピース矯正装置はさまざまなメーカーで作製されており、簡単な治療から本格的な矯正治療ができるものまでそれぞれ特徴があります。まずは拝見して症状に適したものを提案します。
実際に患者さんに装着して頂いた様子がこちらです。


マウスピース型矯正装置は歯によくフィットするよう精密に作られているので、正しく着用すれば目立ちません。初めて装着する日は発音時に違和感を感じますが、数日~1週間で慣れてきます。
まずはご相談頂き、症状に適した治療法についてご説明いたします。