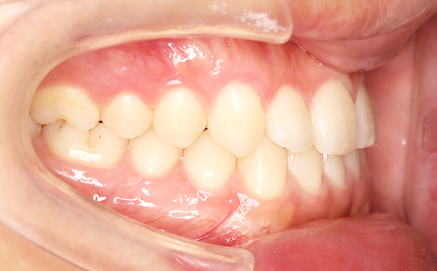
before


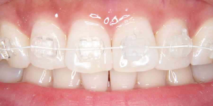
様々な特性を持つ矯正器具やワイヤーを使い分けることで、できるだけ痛みが少なく心身の負担が少ない矯正治療を心がけています。


表側の矯正でも目立ちにくい矯正治療を得意としています。
当院では基本的にすべての表側矯正において審美ブラケットを使用します。見た目も機能性もこだわり、治療中も快適にお過ごしになれる治療を心がけています。



表側の矯正器具は歯を効率よく移動できるだけでなく、マウスピースや裏側矯正に比べ舌の違和感が少なく、発音の問題が少ない治療法です。
ご相談の際、症状やライフスタイルに合う装置をご提案します。

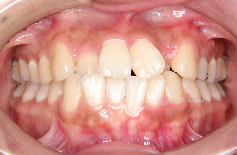
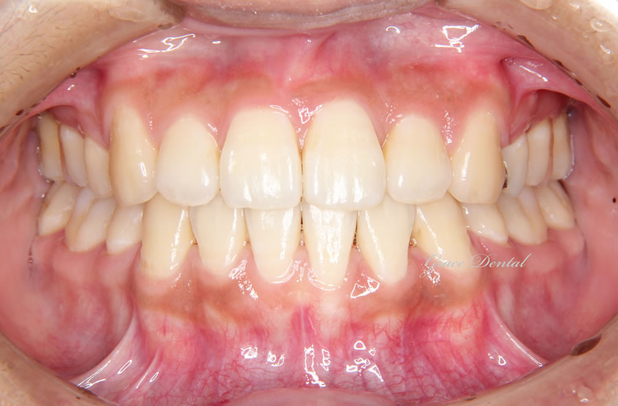
before

after

治療方法・期間・結果は個人により異なります。
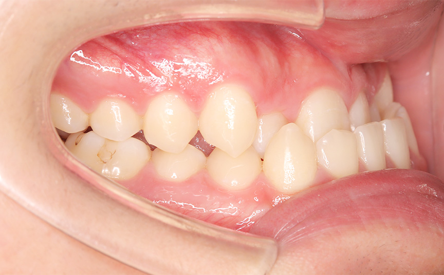
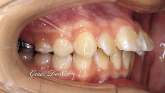
before

after

治療方法・期間・結果は個人により異なります。
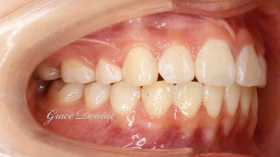
before

after

治療方法・期間・結果は個人により異なります。
before

after

治療方法・期間・結果は個人により異なります。